Normal Brain CT Scan: What To Expect

S.Acebounce 51 views
Normal Brain CT Scan: What To Expect

Normal Brain CT Scan: What to Expect

Hey guys, ever wondered what a normal brain looks like on a CT scan? It’s a pretty fascinating peek inside your head without any invasive stuff! A CT scan, or computed tomography scan, uses X-rays from different angles to create detailed cross-sectional images of your brain. Think of it like slicing an orange and looking at each slice – that’s essentially what a CT does for your brain, giving doctors a super clear view of its structure. This technology is a game-changer in medicine, allowing for quick and accurate diagnoses of a wide range of neurological conditions. Unlike an MRI, which uses magnetic fields, a CT scan is much faster and is often the go-to imaging method in emergency situations where time is absolutely critical, like after a head injury or stroke. It’s also a fantastic tool for monitoring conditions and seeing how treatments are progressing. So, when you hear about someone getting a brain CT, it’s usually to check for things like bleeding, tumors, bone fractures in the skull, or signs of stroke. The process itself is pretty straightforward. You’ll lie down on a table that slides into a large, donut-shaped machine. The machine rotates around your head, taking the X-ray images. You’ll need to stay very still during the scan, which typically only takes a few minutes. Sometimes, a contrast dye might be injected into a vein to help highlight certain structures or abnormalities, making them stand out more clearly on the images. This contrast agent helps differentiate between healthy tissue and potentially problematic areas. The resulting images are then analyzed by a radiologist, a doctor specializing in interpreting medical images, who will look for any deviations from the norm. Understanding what a normal CT scan shows is key to spotting when something isn’t quite right. It’s all about comparing the real thing to the textbook version of a healthy brain.

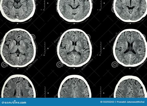
Anatomy of a Normal Brain on CT

Alright, let’s dive into what a normal brain on a CT scan actually looks like. When you’re looking at these black and white images, it can seem a bit abstract, but there’s a whole lot of anatomy packed in there! We’re basically looking at slices of your brain, from the bottom all the way up to the top. The key thing to remember is that different tissues show up with varying shades of gray, white, and black based on how dense they are. Bone, like your skull, is super dense, so it shows up bright white. Areas with blood, like in the ventricles or blood vessels, can also appear white, especially if there’s bleeding. Fat and fluid, like the cerebrospinal fluid (CSF) that cushions your brain, appear darker, closer to black. Brain tissue itself, the gray matter and white matter, shows up in shades of gray. Gray matter , which contains nerve cell bodies, is generally a bit lighter than white matter , which is made up of nerve fibers covered in myelin (a fatty substance that makes them appear whiter). You’ll be able to distinguish the major structures. The cerebrum , the largest part of the brain responsible for higher-level functions, will take up most of the image. You can often see the deep grooves, called sulci , and the ridges, called gyri , on the surface of the brain. Inside the cerebrum, you’ll find the ventricles , which are fluid-filled spaces that produce and circulate CSF. These usually appear as dark, butterfly-shaped structures in the center of the brain. The cerebellum , located at the back and bottom of the brain, responsible for coordination and balance, will also be visible. And don’t forget the brainstem , connecting the cerebrum and cerebellum to the spinal cord, crucial for basic life functions like breathing and heart rate. In a normal scan, these structures will be well-defined, symmetrical, and in their expected locations. There won’t be any abnormal white spots indicating bleeding (hemorrhage) or large dark areas suggesting a stroke (infarction) or a tumor. The CSF spaces will be clear and of normal size, not compressed or enlarged abnormally. The blood vessels within the brain might be visible, especially if contrast is used, appearing as bright, branching structures. A radiologist is trained to meticulously examine every slice, comparing both sides of the brain for symmetry and identifying any subtle changes that might indicate a problem. It’s like a detailed architectural blueprint, but for your brain!

What Radiologists Look For

So, when a radiologist is staring at a normal brain CT scan , what exactly are they scrutinizing? It’s not just a casual glance, guys; it’s a systematic, highly trained evaluation. First off, they’re looking at the overall structure and symmetry of the brain. Is one side significantly different from the other? Are the major lobes of the cerebrum, the cerebellum, and the brainstem all present and in their correct anatomical positions? They’re checking for any signs of mass effect , which is when something – like a tumor or a large bleed – is pushing on surrounding brain tissue, distorting its shape or position. Next, they meticulously examine the ventricles . In a healthy brain, these fluid-filled cavities should be a normal size and shape, typically appearing as dark areas in the center. If they are enlarged, it could mean there’s increased pressure in the skull (intracranial pressure) due to a blockage of CSF flow (hydrocephalus) or brain swelling. If they are compressed, it might indicate a mass pushing on them. They’re also hunting for any abnormal densities . Remember how I mentioned different tissues have different densities? Well, radiologists look for unusual bright spots that could signal bleeding (hemorrhage) within the brain tissue, the spaces around the brain, or within the ventricles. Conversely, they look for dark areas that might indicate a stroke (infarction), where brain tissue has died due to lack of blood supply. Tumors will also often appear as areas with abnormal density, sometimes enhancing brightly if contrast dye is used. The skull bones are also inspected for any fractures, which would appear as sharp, white lines interrupting the smooth contour of the bone. Even subtle things like calcifications (deposits of calcium) are noted; while often benign, a significant amount or unusual location might warrant further investigation. If a contrast agent was used, the radiologist pays extra attention to how the blood vessels and any abnormal tissue (like a tumor or area of inflammation) “enhance” or light up. This enhancement pattern can provide crucial clues about the nature of a lesion. They’re essentially comparing what they see to their vast knowledge base of what a healthy brain looks like, looking for any deviation from that baseline. It’s a detailed process aimed at ensuring that everything is where it should be and that there are no hidden threats lurking within the brain’s intricate landscape. It’s all about ruling out the bad stuff to confirm the good!

Common Findings in a Normal Brain CT

So, what are the typical sights you’d expect to see, or not see, on a normal brain CT scan ? Basically, guys, a normal scan is one where everything looks as it should, with no significant abnormalities detected. You won’t find any evidence of fresh bleeding, which would show up as a bright white area (a hyperdensity) within the brain tissue or its surrounding spaces. This means no signs of hemorrhagic stroke, trauma-induced bleeding, or ruptured aneurysms. Similarly, there won’t be any large dark areas (hypodensities) that suggest a recent ischemic stroke, where a portion of the brain tissue has died due to lack of blood flow. The brain’s intricate network of blood vessels will appear healthy, with no obvious blockages or malformations visible unless contrast was used and specific vascular imaging protocols were employed. The ventricles , those crucial fluid-filled pathways, will be of normal size and shape. They won’t be squeezed or pushed aside by any abnormal mass, nor will they be excessively enlarged, which could indicate a buildup of cerebrospinal fluid (CSF) or increased intracranial pressure. The sulci and gyri , the grooves and folds on the brain’s surface, will be clearly delineated and symmetrical. If there’s significant brain swelling (edema), these features can become effaced or smoothed out, which you won’t see on a normal scan. The cerebellum and brainstem will also appear intact and appropriately located. You won’t see any tumors or lesions, which typically manifest as areas of abnormal density – either lighter or darker than the surrounding brain tissue, and potentially showing abnormal enhancement if contrast was administered. The skull bones will be intact, without any fractures. Small, age-related calcifications might be present in certain areas like the choroid plexus within the ventricles, but these are typically considered benign and normal findings. Essentially, a normal brain CT is characterized by its lack of acute pathology. It’s a snapshot confirming that the brain’s structure is sound, its compartments are functioning correctly, and there are no immediate dangers identified by the imaging. It’s the reassuring image that allows doctors to say, “All clear here!” It’s the baseline against which any future changes would be compared, making it a vital diagnostic tool for ruling out serious conditions and providing peace of mind.

When to Get a Brain CT Scan

Alright, let’s talk about when a brain CT scan is typically ordered. This isn’t a routine check-up kind of scan, guys; it’s usually done when there’s a specific concern or symptom that needs immediate investigation. The most common reason is head trauma . If someone has had a significant blow to the head, especially if they’ve lost consciousness, are experiencing severe headaches, vomiting, confusion, or have visible signs of injury like a deep cut or deformity, a CT scan is crucial to rule out bleeding inside the skull (intracranial hemorrhage) or a skull fracture. Another major indication is stroke . For suspected ischemic or hemorrhagic strokes, a CT scan is often the first imaging test performed. It can quickly identify bleeding, which is critical because the treatment for a hemorrhagic stroke is very different from an ischemic one. While CT is less sensitive for very early ischemic strokes compared to MRI, it’s much faster and widely available, making it vital in the golden hours after stroke symptom onset. Sudden, severe headaches, often described as the “worst headache of my life,” are another red flag that might prompt a CT scan, as this could indicate a subarachnoid hemorrhage (bleeding around the brain) due to a ruptured aneurysm. Neurological symptoms that appear suddenly and without explanation are also a common reason. This includes things like weakness or numbness on one side of the body, difficulty speaking or understanding speech, vision changes, dizziness, loss of balance, or seizures. These symptoms could point to a stroke, a tumor, or other serious neurological issues that a CT can help identify or rule out. Changes in mental status or consciousness, like confusion, disorientation, or persistent drowsiness, especially in an older adult or someone with a known risk factor for brain issues, might also trigger a CT scan. Sometimes, a CT scan is used to guide procedures , such as biopsies or the placement of shunts for hydrocephalus. It can also be used to monitor the progression of known conditions or the effectiveness of treatments, although MRI is often preferred for long-term monitoring due to its lack of radiation. Basically, if there’s a suspicion of a serious, acute problem affecting the brain’s structure or function, a CT scan is a powerful tool to get a quick and informative look inside. It’s all about diagnosing urgent conditions and ensuring the right treatment is initiated promptly.

Potential Risks and Considerations

Now, while a normal brain CT scan is great news, it’s important to touch upon the potential risks and considerations associated with CT scans in general, guys. The primary concern with CT scans is the radiation exposure . CT uses X-rays, which are a form of ionizing radiation. While the amount of radiation used for a single brain CT is relatively low and generally considered safe for adults, especially when weighed against the diagnostic benefit, repeated exposure over time or in younger individuals can increase the cumulative risk of developing cancer later in life. This is why doctors always aim to use the lowest radiation dose possible and only order scans when they are medically necessary. For pregnant women, the risk is higher, and CT scans are typically avoided unless absolutely essential, with careful consideration of fetal exposure. Another consideration is the contrast dye . As we mentioned, contrast agents are often used to enhance the visibility of certain structures. These agents, usually iodine-based, are generally safe, but they do carry some risks. The most common side effects are mild allergic reactions, like itching or hives. However, more severe allergic reactions, though rare, can occur and require immediate medical attention. For individuals with kidney problems , the contrast dye can be particularly risky because the kidneys are responsible for filtering it out of the body. In people with compromised kidney function, the contrast material can potentially worsen kidney damage or even lead to kidney failure. Therefore, it’s crucial for patients to inform their doctor about any pre-existing kidney conditions before the scan. Even in healthy individuals, it’s important to stay well-hydrated after receiving contrast to help the kidneys flush it out effectively. Lastly, while the CT scanner itself is not claustrophobic like an MRI can be, some people might feel anxious lying in the machine, especially if they have difficulty staying still. However, the scans are very quick, usually only taking a few minutes, which helps minimize discomfort. It’s always a good idea to discuss any concerns or anxieties you have with your doctor or the imaging staff beforehand. They can often provide reassurance or suggest strategies to make the experience more comfortable. So, while a normal CT is the goal, understanding these potential issues helps us appreciate the balance between the benefits of imaging and the inherent risks involved.

What Happens After the Scan?

So, you’ve had your brain CT, and everything came back normal – awesome news! But what happens after the scan, guys? Typically, once the scan is complete, you can usually resume your normal activities right away, especially if no contrast dye was used. If you did receive contrast, you might be asked to wait in the imaging center for a short period, maybe 15-30 minutes, just to ensure you don’t have any immediate allergic reaction. Drinking plenty of fluids after receiving contrast is a good idea to help your body flush it out. Then comes the waiting game for the results. The images taken during your CT scan are reviewed by a radiologist, a doctor who specializes in interpreting medical images. They will meticulously examine every detail of your brain’s structure, looking for any abnormalities. This process can take some time, depending on the workload at the imaging center or hospital. Once the radiologist has finished their interpretation, they will write a detailed report. This report is then sent to the doctor who ordered the scan – your neurologist, primary care physician, or emergency room doctor. Your doctor will then review the report along with your medical history, symptoms, and the findings from the physical examination. They will discuss the results with you. If the scan is indeed normal, they’ll let you know, and you can both breathe a sigh of relief. They might explain what a normal scan looks like and reassure you that no immediate concerns were found. If, by some chance, there was an unexpected finding on your scan, even if it wasn’t the original reason for the scan, your doctor will discuss that with you, explain its significance, and outline the next steps, which might involve further testing or specialist consultation. In many cases, especially if the scan was done in an emergency setting like the ER, the results might be communicated relatively quickly, sometimes even before you leave the hospital. For outpatient scans, it might take a day or two for the full report to be generated and sent to your doctor. Don’t hesitate to ask your doctor how and when you can expect to receive your results. It’s your health, and you have the right to be informed! Getting the all-clear on a brain CT is a fantastic outcome, but understanding the post-scan process helps manage expectations and ensures you get the full picture.