Mastering Diffusion-Weighted Imaging (DWI) Basics

S.Acebounce 74 views
Mastering Diffusion-Weighted Imaging (DWI) Basics

Mastering Diffusion-Weighted Imaging (DWI) Basics

Hey guys, ever wondered how doctors can peer deep inside our bodies and spot problems that aren’t visible with conventional imaging? Well, one of the unsung heroes in the world of medical diagnostics is Diffusion-Weighted Imaging (DWI) . This incredible MRI technique isn’t just a fancy acronym; it’s a game-changer, giving us a unique window into the microscopic world of water molecule movement. Understanding Diffusion-Weighted Imaging (DWI) is crucial for anyone keen on grasping modern medical diagnostics, and trust me, it’s not as intimidating as it sounds! At its core, DWI allows us to detect subtle changes in tissues by observing how water molecules diffuse , or spread out, in different directions. Think of it like watching tiny, invisible dancers moving through a crowd; their movement patterns can tell you a lot about the crowd itself. When these dancers are restricted, it tells us something different than when they’re moving freely. This concept, simple as it may seem, underpins the power of DWI to identify conditions ranging from acute strokes to tumors and even infections, often much earlier than other methods. It’s an invaluable tool for clinicians, offering early detection and accurate characterization of various pathologies. Without diving into the super deep physics jargon just yet, remember that DWI fundamentally measures the random motion of water molecules within biological tissues. This motion is influenced by the surrounding environment, such as cell membranes, protein structures, and even the presence of inflammation or swelling. By quantifying these movements, radiologists can infer important information about tissue microstructure and cellular integrity. So, buckle up, because we’re about to demystify Diffusion-Weighted Imaging (DWI) and explore its fascinating principles and critical clinical applications. We’ll cover everything from the basic science to how it helps diagnose serious conditions, all in a friendly, easy-to-understand way. This journey into the heart of DWI will illuminate why it’s such an indispensable part of modern medical imaging, providing insights that are simply impossible to gain through other means. Get ready to understand how this amazing technology literally ‘sees’ what’s going on at a cellular level, helping countless patients every single day.

Introduction to Diffusion-Weighted Imaging (DWI)

Diffusion-Weighted Imaging (DWI) , guys, is a specialized Magnetic Resonance Imaging (MRI) technique that has revolutionized our ability to detect and characterize various medical conditions by looking at something incredibly tiny and fundamental: the movement of water molecules. Imagine water molecules in your body as tiny, energetic travelers constantly bumping into things and moving around randomly. This random motion of water molecules is called Brownian motion , and it’s the cornerstone of how DWI works. In healthy tissues, water molecules can move relatively freely; they’re like kids running around in a wide-open park. However, in diseased tissues, this movement often becomes restricted or altered. For instance, in an acute stroke, cells start to swell and die, causing less space for water molecules to move. It’s like those kids suddenly finding themselves in a crowded closet – their movement becomes severely restricted . This change in water diffusion is what DWI brilliantly picks up, often within minutes of an event like a stroke, which is much earlier than traditional MRI scans can. This early detection is absolutely critical for timely treatment and better patient outcomes, making DWI an incredibly powerful tool in emergency medicine and beyond. Think of it, without DWI , doctors might have to wait hours for tissue damage to become visible, losing precious time during which interventions could prevent permanent disability. The importance of Diffusion-Weighted Imaging (DWI) cannot be overstated, especially when you consider its impact on conditions where time is literally brain or tissue. It provides unique insights into tissue microstructure that aren’t available through conventional MRI sequences, which primarily look at proton density, T1, and T2 relaxation times. While those are great, they don’t give us the granular detail about water movement . DWI adds another dimension to our understanding, allowing clinicians to make more informed and rapid diagnostic decisions. This technique isn’t just about spotting blockages or lesions; it’s about understanding the cellular environment and how it impacts water mobility. So, the main keyword here, Diffusion-Weighted Imaging (DWI) , truly represents a leap forward in non-invasive diagnostic capabilities. It’s not just an image; it’s a map of cellular health, revealing secrets that other imaging modalities just can’t see. The basic concept of water molecule movement, and how it varies in health versus disease, is what makes DWI so uniquely powerful and essential in today’s medical landscape. It gives clinicians an unparalleled advantage in diagnosing and managing a wide array of conditions, improving patient care dramatically. This amazing technique truly showcases the ingenuity in leveraging fundamental physics for profound medical benefit.

The Science Behind DWI: How It Works

Alright, let’s get a bit deeper into the nitty-gritty, but still keep it casual, about how Diffusion-Weighted Imaging (DWI) actually pulls off its magic. The core principle, as we discussed, revolves around the movement of water molecules, specifically Brownian motion . This isn’t just some random concept; it’s a fundamental physical phenomenon where tiny particles (like water molecules) suspended in a fluid randomly move due to collisions with the surrounding medium. In our bodies, these water molecules are constantly jiggling and bumping into cell membranes, proteins, and other structures. Diffusion-Weighted Imaging (DWI) capitalizes on this intrinsic molecular dance. When water molecules are in healthy, open tissue, they can move quite freely, exhibiting high diffusivity . But when tissues are compromised, say by a stroke, a tumor, or inflammation, the cellular environment changes drastically. Cells might swell, boundaries might become more restrictive, or extracellular space might shrink. These changes impede the free movement of water molecules, leading to restricted diffusion . The genius of DWI lies in its ability to detect and quantify these differences. It uses special magnetic field gradients, essentially temporary magnetic pulses, to tag and track the movement of these water molecules. If a molecule moves between two gradient pulses, its signal gets attenuated – meaning it loses some of its brightness. The more a molecule moves, the more signal it loses. This signal loss is directly proportional to the amount of diffusion occurring in that tissue. So, areas with restricted diffusion will show up brighter on DWI images because water molecules haven’t moved much, thus retaining more signal. Conversely, areas with free diffusion will appear darker due to significant signal loss. This distinction is paramount for clinical diagnosis, especially in time-sensitive scenarios like acute stroke, where restricted diffusion is a hallmark finding. The ability of DWI to measure these microscopic movements provides a unique physiological insight into tissue viability and cellular integrity, which conventional MRI techniques often miss. It truly allows us to visualize the cellular architecture indirectly by observing how water interacts with it. This fundamental understanding of how diffusion relates to signal attenuation is key to appreciating the diagnostic power of Diffusion-Weighted Imaging (DWI) . It’s not just a pretty picture; it’s a quantitative measurement of cellular health and restriction. Without these specialized gradient pulses, we wouldn’t be able to effectively ‘see’ the invisible dance of water molecules, which is why they are so critical to the success of this imaging modality.

Brownian Motion and Diffusion

Let’s really zoom in on Brownian motion and diffusion because they’re the absolute superstars behind Diffusion-Weighted Imaging (DWI) . Imagine, if you will, a microscopic mosh pit of water molecules inside your body. They’re not just sitting still; they’re constantly vibrating, rotating, and translating, bumping into everything around them. This seemingly chaotic, random movement is what we call Brownian motion , a phenomenon first observed by botanist Robert Brown when he saw pollen grains jiggling in water. In our biological tissues, water molecules are diffusing through a complex maze of cells, fibers, and membranes. The rate and direction of this diffusion are incredibly sensitive to the tissue’s microstructure. If the water molecules are in a wide-open space, like cerebrospinal fluid (CSF) in the brain’s ventricles, they can move freely in all directions; this is called free diffusion . However, when these molecules encounter obstacles, like tightly packed cells in a tumor or the swollen cells in an ischemic stroke, their movement becomes restricted or hindered . It’s like trying to run through a dense forest versus an open field – your path is much more constrained in the forest. Diffusion-Weighted Imaging (DWI) is specifically designed to detect these changes in diffusion . It applies strong, rapidly switched magnetic field gradients during the MRI scan. These gradients act like a temporary ‘tag’ for the water molecules. A initial gradient pulse ‘tags’ the protons of water molecules. If a water molecule moves before a second, identical gradient pulse is applied, it will experience a different magnetic field strength, causing its signal to be out of phase and thus attenuated or lost. The more the water molecules move (i.e., the greater the diffusion), the more signal is lost. Conversely, if the molecules are restricted and haven’t moved much, they will maintain their phase coherence, and their signal will be preserved, appearing brighter on the DWI image. This mechanism is profoundly powerful because it allows us to visualize conditions that restrict water movement, often before any anatomical changes are apparent on conventional MRI. For example, in acute ischemic stroke, cellular energy failure leads to cytotoxic edema, causing cells to swell and restrict the extracellular space. This restricted movement of water is picked up almost immediately by DWI , showing up as bright lesions. This makes DWI an indispensable tool for early diagnosis, enabling rapid intervention that can significantly alter patient outcomes. So, guys, when you see a bright spot on a DWI scan, it’s not just random brightness; it’s a visual representation of water molecules struggling to move, giving us a crucial clue about the underlying tissue pathology. It’s all about that Brownian motion and how the environment affects its diffusion , beautifully captured by this advanced imaging technique. This detailed understanding of the microscopic world of water movement within biological tissues is what truly sets Diffusion-Weighted Imaging (DWI) apart as a diagnostic powerhouse, offering unparalleled insights into cellular health and disease processes.

Gradients and Signal Attenuation

Let’s dive a bit deeper into the clever technical bits that make Diffusion-Weighted Imaging (DWI) possible: the role of magnetic field gradients and how they lead to signal attenuation . This is where the MRI scanner really earns its stripes, guys! At the heart of DWI’s ability to measure water movement are these specially designed magnetic field gradients. These aren’t your everyday magnets; they are precisely controlled, rapidly changing magnetic fields that are applied in specific directions. Think of them as a pair of ‘motion detectors’ for water molecules. The first gradient pulse, often called the sensitizing pulse , essentially ‘labels’ the water protons. It causes them to get out of phase with each other in a controlled manner. Now, here’s the crucial part: if a water molecule doesn’t move after this first pulse, a second, identical gradient pulse is applied in the opposite direction. This second pulse perfectly re-phases the protons, and their signal is recovered, creating a bright spot on the image. However, and this is where the magic of Diffusion-Weighted Imaging (DWI) happens, if a water molecule moves (diffuses) between these two gradient pulses, it will experience a slightly different magnetic field at the time of the second pulse compared to the first. This difference in magnetic field means the second pulse cannot perfectly re-phase that proton. As a result, its signal will be attenuated , or reduced, appearing darker on the final image. The more the water molecules move, the greater the signal attenuation . This ingenious use of paired gradient pulses allows the MRI scanner to be incredibly sensitive to the microscopic movement of water. The degree of this motion-induced signal loss is quantified by a parameter called the b-value . The b-value effectively tells us how ‘sensitive’ the scan is to diffusion. A higher b-value means the scan is more sensitive to even small amounts of diffusion, leading to greater signal attenuation for freely diffusing water and thus better contrast for areas with restricted diffusion. Typically, DWI sequences are acquired with at least two different b-values (e.g., a low b-value like 0 s/mm² and a higher b-value like 1000 s/mm²). The image acquired with a b-value of 0 is essentially a T2-weighted image without diffusion weighting, serving as a reference. By comparing the signal intensity between images acquired with different b-values , we can then mathematically calculate the Apparent Diffusion Coefficient (ADC) , which gives us a quantitative measure of diffusion. So, when you look at a Diffusion-Weighted Imaging (DWI) image, you’re not just seeing anatomical structures; you’re seeing a map where brightness and darkness directly reflect the ability of water molecules to move freely or be restricted by their environment. This mechanism, guys, is incredibly powerful for early disease detection, especially in conditions like acute stroke where restricted diffusion is a hallmark. The interplay of gradients , signal attenuation , and the b-value is fundamental to unlocking the diagnostic prowess of DWI , offering insights into cellular changes long before they become visible through other means. It truly highlights the sophisticated engineering behind modern MRI.

Key Concepts in DWI

Now that we’ve grasped the fundamental mechanics of how Diffusion-Weighted Imaging (DWI) works, let’s explore some of the really important concepts that allow us to interpret these images and make clinical diagnoses. These aren’t just technical terms, guys; they are the keys to unlocking the wealth of information that DWI provides. Understanding these concepts is essential for anyone wanting to truly appreciate the power of this imaging modality. We’re talking about crucial metrics and phenomena that help distinguish healthy tissue from diseased tissue, and even characterize the type of pathology present. Without these key concepts, DWI would just be a series of pretty pictures; with them, it becomes a powerful diagnostic tool. So, let’s unpack these vital elements of Diffusion-Weighted Imaging (DWI) , beginning with the ever-important Apparent Diffusion Coefficient (ADC) maps. These concepts move beyond just qualitative assessment of signal brightness to quantitative measurements, providing objective data that can track disease progression or treatment response. They allow for a deeper, more nuanced understanding of the microscopic environment, moving from ‘is there a problem?’ to ‘what kind of problem is it and how severe?’. This layer of detail is incredibly valuable for clinicians, guiding treatment plans and predicting patient outcomes. Getting a handle on these terms will significantly enhance your grasp of how DWI contributes to modern medicine. It’s like learning the language of the cells themselves, translated through the physics of water movement. Each concept builds upon the last, painting a comprehensive picture of tissue microstructure and health. So, prepare to add some powerful new tools to your diagnostic arsenal as we delve into these core ideas within Diffusion-Weighted Imaging (DWI) .

Apparent Diffusion Coefficient (ADC) Maps

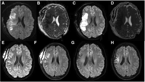
Alright, let’s talk about something incredibly useful and quantitative in Diffusion-Weighted Imaging (DWI) : the Apparent Diffusion Coefficient (ADC) map . While raw DWI images, especially those with high b-values , show areas of restricted diffusion as bright, this brightness can sometimes be influenced by other factors, like T2 shine-through (where lesions that are simply very bright on T2-weighted images also appear bright on DWI, even if diffusion isn’t truly restricted). This can be confusing, right? That’s where the ADC map comes to the rescue! The ADC map is a quantitative image that’s derived from at least two DWI images acquired with different b-values (usually b =0 and a higher b -value, like 1000 s/mm²). Essentially, it’s a calculated image where the signal intensity in each pixel is directly proportional to the actual diffusion coefficient of water molecules in that specific tissue. This means the ADC map gives us a direct numerical value, often expressed in mm²/s, for how freely water molecules are diffusing. What’s super cool about the ADC map is that it’s largely independent of T2 effects. This means it provides a pure measure of diffusion . On an ADC map , areas with truly restricted diffusion (like acute stroke, highly cellular tumors, or pus in an abscess) will appear dark because their ADC values are low. Conversely, areas with facilitated diffusion (like cerebrospinal fluid, necrotic tissue, or vasogenic edema) will appear bright because their ADC values are high. This inversion of signal intensity compared to high b-value DWI images is key to its interpretation. So, guys, when a radiologist sees a bright lesion on a high b -value DWI image, they always cross-reference it with the corresponding ADC map . If the lesion is bright on DWI and dark on the ADC map , then you’ve got true restricted diffusion, which is highly indicative of acute pathology like ischemic stroke, where ADC values drop significantly within minutes to hours of onset. This combination – bright DWI and dark ADC – is often referred to as a “DWI-ADC mismatch” and is a hallmark for diagnosing acute ischemic stroke. In tumor characterization, ADC values can help distinguish between different types of tumors or even assess tumor cellularity. Highly cellular tumors tend to have lower ADC values because the dense packing of cells restricts water movement, while less cellular tumors or those with necrosis might have higher ADC values. The interpretation of ADC maps in various clinical scenarios is incredibly valuable. It helps in differentiating acute from chronic stroke, identifying abscesses (low ADC due to viscous pus and cellular debris), distinguishing epidermoid cysts from arachnoid cysts (epidermoids have very low ADC), and even assessing treatment response in oncology. A decrease in tumor cellularity after chemotherapy, for example, might be reflected as an increase in ADC values. So, the Apparent Diffusion Coefficient (ADC) map isn’t just another image; it’s a quantitative biomarker that provides indispensable diagnostic and prognostic information, making Diffusion-Weighted Imaging (DWI) an even more powerful tool in clinical practice.

Isotropic vs. Anisotropic Diffusion

Let’s explore another fascinating aspect of Diffusion-Weighted Imaging (DWI) : the difference between isotropic and anisotropic diffusion . This distinction isn’t just academic; it gives us incredible insights into the microscopic architecture of tissues, particularly in the brain’s white matter. In an ideal, free environment, water molecules would diffuse equally in all directions, like a gas expanding into a vacuum. This is what we call isotropic diffusion . Think of water molecules moving through a perfectly spherical, unobstructed space – no preferred direction. In the human body, areas like cerebrospinal fluid (CSF) or grey matter tend to exhibit more isotropic diffusion because their cellular and structural environments are relatively uniform and less organized in a specific direction. However, many tissues in our bodies, especially white matter tracts in the brain and spinal cord, are anything but uniform. They contain highly organized structures, like bundles of nerve fibers (axons) that are myelinated and packed tightly together. In such structured environments, water molecules can’t just diffuse freely in any direction they please. Their movement is preferentially directed along the length of these structures and restricted perpendicular to them. This phenomenon is called anisotropic diffusion . Imagine trying to move through a dense, parallel forest – it’s much easier to walk between the trees than to try and push through them sideways. Similarly, water molecules in white matter tracts diffuse more easily along the nerve fibers than across them. Diffusion-Weighted Imaging (DWI) , especially when extended to Diffusion Tensor Imaging (DTI) , is exquisitely sensitive to this anisotropy . DTI takes DWI a step further by acquiring diffusion data in multiple (at least six) non-collinear directions, allowing for the calculation of a diffusion tensor . This tensor describes the magnitude and direction of water diffusion in three dimensions. From this tensor, we can derive several important metrics, one of the most significant being Fractional Anisotropy (FA) . Fractional Anisotropy (FA) is a value between 0 and 1 that quantifies the degree of anisotropy . An FA value close to 0 indicates isotropic diffusion (water moving equally in all directions), while an FA value close to 1 indicates highly anisotropic diffusion (water moving predominantly in one direction). High FA values are typically found in healthy, organized white matter tracts, reflecting their structural integrity. Changes in FA, such as a decrease, can indicate damage to these tracts, like demyelination, axonal injury, or edema, seen in conditions like multiple sclerosis, traumatic brain injury, or neurodegenerative diseases. This makes Fractional Anisotropy (FA) an incredibly powerful biomarker for assessing the health and integrity of white matter. So, guys, understanding the difference between isotropic and anisotropic diffusion allows us to not only detect pathology but also to characterize the microscopic organization of tissues. It’s not just about if water is moving freely, but how it’s moving – is it restricted in all directions, or just in some? This detailed information is crucial for diagnosing and monitoring conditions that affect the brain’s intricate network of connections, providing insights that are fundamental to understanding neurological disorders. It’s truly mind-blowing what we can learn about our brains just by tracking water!

Clinical Applications of DWI

Alright, guys, let’s get into the really impactful stuff: the clinical applications of Diffusion-Weighted Imaging (DWI) . This is where all that cool science we just talked about translates directly into saving lives and improving patient outcomes. DWI isn’t just a research tool; it’s a cornerstone of modern diagnostic radiology, providing critical information across a wide spectrum of medical conditions. Its unique sensitivity to microscopic water movement makes it invaluable in situations where early detection and precise characterization are paramount. Trust me, its utility in daily clinical practice is immense. One of the most famous and perhaps most critical applications of Diffusion-Weighted Imaging (DWI) is in the detection of acute ischemic stroke . As we briefly touched upon, DWI can detect areas of restricted diffusion within minutes to hours of stroke onset, long before conventional MRI or CT scans show any changes. This early detection is a game-changer because time is brain in stroke; rapid diagnosis allows for immediate intervention, such as thrombolytic therapy or mechanical thrombectomy, which can significantly reduce permanent brain damage and improve recovery. The classic finding of bright signal on high b -value DWI images coupled with low signal on ADC maps is virtually diagnostic for acute stroke. Without DWI , doctors would be flying blind for crucial hours, potentially missing the window for effective treatment. Beyond stroke, Diffusion-Weighted Imaging (DWI) plays a crucial role in tumor characterization . It helps differentiate between benign and malignant lesions, assess tumor cellularity, and even predict tumor aggressiveness. Highly cellular tumors, like lymphomas or glioblastomas, often show restricted diffusion (low ADC values) due to the dense packing of cells and limited extracellular space. This contrasts with cysts or necrotic areas within tumors, which typically have higher ADC values. DWI can also be used to monitor treatment response in oncology; a rise in ADC values after chemotherapy or radiation therapy can indicate a reduction in tumor cellularity and effective treatment. This makes it an invaluable tool for guiding cancer therapy. Another significant application is in the detection and characterization of infections and inflammation , particularly abscesses in the brain or spinal cord. Pus, being a viscous fluid filled with cellular debris, often exhibits restricted diffusion on DWI (low ADC), helping to differentiate an abscess from a necrotic tumor or other cystic lesions. This distinction is vital for guiding appropriate treatment – surgery and antibiotics for an abscess versus different protocols for a tumor. DWI is also increasingly used in neurodegenerative diseases like Alzheimer’s disease and Parkinson’s disease, where it can provide insights into white matter integrity and track disease progression, often using advanced techniques like DTI. Furthermore, it has applications in epilepsy for identifying epileptogenic foci, in multiple sclerosis for detecting subtle demyelinating lesions, and even in abdominal and pelvic imaging for detecting and characterizing various lesions, including liver metastases and prostate cancer. The versatility of Diffusion-Weighted Imaging (DWI) truly underscores its importance. From acute emergencies to chronic disease management and cancer care, DWI provides unique, non-invasive insights into tissue microstructure and pathology, helping clinicians make more informed decisions and ultimately improving patient care across a vast array of medical specialties. It’s a remarkable testament to how understanding fundamental physics can lead to such profound practical benefits in medicine, offering a window into the body’s cellular secrets that was once unimaginable.

Limitations and Future Directions of DWI

Even with all its incredible capabilities, guys, it’s important to acknowledge that Diffusion-Weighted Imaging (DWI) isn’t without its challenges and limitations. Just like any sophisticated medical technology, it has areas where it can be improved, and researchers are constantly pushing the boundaries. Understanding these limitations helps us appreciate the ongoing advancements and the exciting future directions of DWI . One of the primary challenges is motion sensitivity . Because DWI relies on detecting incredibly subtle movements of water molecules, even slight patient movement during the scan (like breathing, swallowing, or just small head shifts) can cause significant artifacts, leading to blurry or distorted images. This is particularly problematic in uncooperative patients, children, or when imaging moving organs in the abdomen. Specialized motion correction techniques and faster acquisition sequences are continuously being developed to mitigate this. Another limitation, particularly in areas with susceptibility artifacts (like near air-bone interfaces or surgical clips), is image distortion . These artifacts can make accurate interpretation difficult, though improved hardware and sequences are helping to reduce their impact. Furthermore, while Diffusion-Weighted Imaging (DWI) is excellent at detecting restricted diffusion, it can sometimes be non-specific. For example, both acute stroke and highly cellular tumors can show low ADC values. Clinical context and correlation with other MRI sequences are always essential for a definitive diagnosis. This highlights the need for a comprehensive diagnostic approach, where DWI is a crucial, but not sole, piece of the puzzle. Despite these challenges, the future directions of DWI are incredibly promising and exciting! Researchers are exploring and implementing advanced DWI techniques that go beyond the basic ADC mapping. One such technique is Diffusion Kurtosis Imaging (DKI) , which provides more detailed information about the non-Gaussian (non-uniform) diffusion of water in complex tissues. This can offer even finer insights into tissue microstructure, potentially improving the differentiation of certain pathologies and providing earlier detection. Another fascinating area is Intravoxel Incoherent Motion (IVIM) imaging. IVIM attempts to separate the diffusion signal into two components: true molecular diffusion and pseudodiffusion caused by blood flow in capillaries (perfusion). This can provide quantitative measurements of both tissue diffusivity and microvascular perfusion in a single scan, which could be incredibly useful in tumor characterization and assessing tissue viability. The integration of DWI with other advanced MRI techniques, such as functional MRI (fMRI) and perfusion MRI, is also a major area of development. Combining these modalities can create a more holistic picture of brain function and pathology. Artificial intelligence and machine learning are also playing an increasing role in DWI analysis, helping to automate quantification, reduce artifacts, and extract even more subtle patterns from the diffusion data, potentially leading to more accurate and personalized diagnoses. The potential for DWI to provide non-invasive biomarkers for early disease detection, treatment response monitoring, and disease progression in a wider range of conditions, including psychiatric disorders and neurodevelopmental conditions, is vast. So, while Diffusion-Weighted Imaging (DWI) already offers tremendous value, its evolution is ongoing, promising even more refined and powerful diagnostic capabilities in the years to come. It’s an exciting time to be involved in medical imaging, and DWI remains at the forefront of innovation!

Conclusion

So, there you have it, guys – a deep dive into the fascinating world of Diffusion-Weighted Imaging (DWI) basics! We’ve journeyed from understanding the invisible dance of water molecules through Brownian motion and diffusion , to appreciating how clever magnetic field gradients and b-values help us measure this movement. We’ve explored the critical role of Apparent Diffusion Coefficient (ADC) maps in providing quantitative insights and distinguished between isotropic and anisotropic diffusion , especially in the context of brain white matter integrity. We also highlighted the monumental clinical applications of DWI , particularly its life-saving role in acute ischemic stroke detection , its utility in tumor characterization , and its importance in identifying infections . Finally, we touched upon its limitations and the exciting future directions that promise to make this already powerful technique even more sophisticated. Ultimately, Diffusion-Weighted Imaging (DWI) is more than just another MRI sequence; it’s a window into the microscopic world of cellular health and disease. Its ability to provide unique, non-invasive insights into tissue microstructure makes it an indispensable tool in modern medicine, fundamentally changing how we diagnose, treat, and monitor a vast array of conditions. By understanding these DWI fundamentals , you now have a clearer picture of why this technology is so revolutionary and continues to be at the cutting edge of diagnostic imaging. It truly helps us ‘see’ the unseen and provides crucial information that empowers clinicians to make better, faster decisions, ultimately improving countless lives. Keep an eye out for how this technology continues to evolve; the future of DWI is undoubtedly bright!