ICD-10 Code For Distal Tibia-Fibula Fracture: A Comprehensive Guide

S.Acebounce 116 views
ICD-10 Code For Distal Tibia-Fibula Fracture: A Comprehensive Guide

ICD-10 Code for Distal Tibia-Fibula Fracture: A Comprehensive Guide

Understanding the intricacies of medical coding is crucial, especially when dealing with fractures. Let’s dive deep into the specifics of the ICD-10 code for a distal tibia-fibula fracture . This guide aims to provide a comprehensive overview, ensuring you’re well-versed in accurately coding this type of injury. So, buckle up, guys, we’re about to embark on a journey through the world of medical codes!

Understanding Distal Tibia-Fibula Fractures

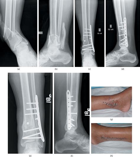
Before we jump into the coding aspects, it’s essential to understand what a distal tibia-fibula fracture actually is. The tibia and fibula are the two long bones in your lower leg. The distal end refers to the part of the bones near your ankle joint. A fracture in this area can range from a hairline crack to a complete break, and it often results from trauma such as falls, sports injuries, or car accidents.

Why is the location so important? Well, fractures in the distal region can be more complex due to the involvement of the ankle joint. These fractures often require surgical intervention to ensure proper alignment and stability. So, when a patient hobbles in with a wonky ankle after a skiing mishap, understanding the nature and location of the fracture is the first step toward accurate diagnosis and treatment.

The ICD-10 coding system is super specific, so knowing the exact location and type of fracture is critical for billing, insurance claims, and, of course, for tracking health statistics. Think of it like this: if you’re baking a cake, you need to know exactly what ingredients to use and how much of each. Similarly, in medical coding, you need precise information to select the right code.

Decoding the ICD-10 System

The International Classification of Diseases, 10th Revision (ICD-10), is a globally recognized diagnostic tool used for classifying and coding diseases, injuries, and other health conditions. It’s maintained by the World Health Organization (WHO) and is used in the United States for diagnostic coding. Each code provides a detailed description of the condition, which is vital for data collection and analysis. This whole system helps us track health trends and manage resources effectively. Now, let’s break down the structure of an ICD-10 code.

ICD-10 codes can be up to seven characters long, with each character providing specific information. The first character is always a letter, which indicates the broad category of the disease or injury. The subsequent characters provide more and more detail, narrowing down the specific condition, its location, and even its severity. It’s like a treasure map, where each clue leads you closer to the buried treasure , in this case, the precise code for the patient’s condition.

For fractures, the ICD-10 codes usually start with the letter ’S,’ indicating an injury. The following numbers specify the body region, the specific bone involved, and the nature of the fracture. Additional characters can indicate whether the fracture is open or closed, displaced or non-displaced, and whether it’s the initial encounter, subsequent encounter, or sequela. See, it’s like learning a new language , but once you get the hang of it, you’ll be fluent in medical coding in no time!

Specific ICD-10 Codes for Distal Tibia-Fibula Fractures

Alright, let’s get down to the nitty-gritty. The ICD-10 codes for distal tibia-fibula fractures fall under the category of ‘Fractures of lower leg’ . However, to pinpoint the exact code, you need more details about the fracture. Here are a few examples:

  • S82.8- Fracture of other parts of lower leg: This is a broader category that includes fractures of the distal tibia and fibula. To get more specific, you’ll need to look at the subcategories.
  • S82.87- Distal metaphyseal fracture of tibia: This code refers to a fracture in the metaphyseal region of the distal tibia, which is the wider part of the bone near the end. This is important because the metaphysis has different healing characteristics than the shaft of the bone.
  • S82.89- Other fractures of lower leg: If the fracture doesn’t fit neatly into the other categories, this code might be used. However, it’s always best to strive for the most specific code possible.

To choose the correct code, consider the following:

  1. Laterality: Is the fracture on the right leg ®, left leg (L), or is it bilateral (both legs)? The ICD-10 codes require you to specify which leg is affected.
  2. Type of Fracture: Is it a transverse, oblique, spiral, or comminuted fracture? A comminuted fracture means the bone is broken into multiple pieces.
  3. Displacement: Is the fracture displaced (the bone fragments are out of alignment) or non-displaced (the bone fragments are still in alignment)?
  4. Open vs. Closed: Is the fracture open (the bone has broken through the skin) or closed (the skin is intact)? Open fractures have a higher risk of infection.
  5. Encounter: Is this the initial encounter (the first time the patient is seen for the fracture), a subsequent encounter (the patient is receiving routine care for the fracture), or a sequela (the fracture has long-term effects)?

For example, let’s say a patient has a displaced, closed fracture of the distal tibia on their right leg, and this is their initial encounter. The ICD-10 code might be S82.871A (Displaced fracture of distal metaphysis of right tibia, initial encounter for closed fracture) . Remember, always consult the latest ICD-10 coding manual or an online coding tool to ensure accuracy!

The Importance of Accurate Coding

Accurate coding is not just about getting the bill paid; it’s integral to quality patient care, public health initiatives, and the financial health of healthcare organizations. Here’s why:

  • Proper Reimbursement: Accurate coding ensures that healthcare providers receive appropriate reimbursement for the services they provide. If a code is incorrect, the claim may be denied, or the provider may be underpaid.
  • Data Analysis: ICD-10 codes are used to collect data on the prevalence of diseases and injuries. This data is used by public health agencies to track trends, identify risk factors, and develop prevention programs.
  • Quality Improvement: Accurate coding allows healthcare organizations to track patient outcomes and identify areas for improvement. For example, if a hospital sees a high rate of complications following distal tibia-fibula fractures, they can investigate the causes and implement strategies to reduce complications.
  • Legal Compliance: Accurate coding is essential for compliance with healthcare regulations. Incorrect coding can lead to audits, fines, and even legal action.

So, as you can see, taking the time to code correctly is a win-win for everyone involved. It’s like making sure you have all the right tools before starting a project ; it sets you up for success!

Common Coding Errors to Avoid

Even seasoned coders can make mistakes. Here are some common coding errors to watch out for when coding distal tibia-fibula fractures:

  • Using Unspecified Codes: As mentioned earlier, always strive for the most specific code possible. Avoid using unspecified codes unless there is no other option. Unspecified codes provide limited information and can hinder data analysis.
  • Ignoring Laterality: Failing to specify whether the fracture is on the right or left leg is a common error. Always check the patient’s medical record to determine the correct laterality.
  • Confusing Open and Closed Fractures: Open fractures require different codes than closed fractures. Make sure you understand the difference between the two and code accordingly.
  • Incorrectly Coding the Encounter: The encounter code (initial, subsequent, or sequela) should reflect the patient’s current status. Using the wrong encounter code can lead to claim denials.
  • Failing to Update Codes: The ICD-10 coding system is updated annually. Make sure you are using the most current version of the coding manual or software.

To avoid these errors, double-check your work and stay up-to-date on the latest coding guidelines . It’s like proofreading a document before submitting it; a little extra effort can prevent big problems!

Tips for Accurate Coding

Here are a few tips to help you code distal tibia-fibula fractures accurately:

  1. Review the Medical Record Thoroughly: Before you start coding, take the time to review the patient’s medical record carefully. Pay attention to the physician’s notes, X-ray reports, and other relevant documentation.
  2. Use a Coding Tool: Coding tools can help you find the correct code quickly and easily. Many coding tools are available online or through coding software.
  3. Consult with a Coding Expert: If you’re unsure about how to code a particular fracture, don’t hesitate to consult with a coding expert. A coding expert can provide guidance and answer your questions.
  4. Stay Up-to-Date on Coding Guidelines: The ICD-10 coding system is constantly evolving. Make sure you stay up-to-date on the latest coding guidelines by attending training sessions, reading coding newsletters, and subscribing to coding updates.
  5. Document Everything: Keep a record of all the codes you assign and the rationale for your coding decisions. This documentation can be helpful if you are ever audited.

Think of these tips as your coding toolbox ; they’ll help you tackle any coding challenge that comes your way!

Real-World Examples

Let’s look at a couple of real-world examples to illustrate how to code distal tibia-fibula fractures:

  • Example 1: A 45-year-old male presents to the emergency room after falling off a ladder. He has a closed, non-displaced fracture of the distal tibia on his left leg. This is his initial encounter. The correct ICD-10 code would be S82.872A (Nondisplaced fracture of distal metaphysis of left tibia, initial encounter for closed fracture).
  • Example 2: A 22-year-old female is seen in the orthopedic clinic for a follow-up appointment after undergoing surgery for an open, displaced fracture of the distal fibula on her right leg. She is receiving routine care for the fracture. The correct ICD-10 code would be S82.861D (Displaced fracture of distal fibula, right leg, subsequent encounter for fracture with routine healing).

By walking through these examples, you can see how the different elements of the fracture (location, displacement, open/closed, laterality, and encounter) all contribute to the final ICD-10 code. It’s like putting together a puzzle ; each piece is essential for completing the picture!

Conclusion

Coding distal tibia-fibula fractures accurately can be tricky, but with a solid understanding of the ICD-10 system, attention to detail, and the right resources, you can master it. Remember, accurate coding is essential for proper reimbursement, data analysis, quality improvement, and legal compliance. So, take your time, do your research, and don’t be afraid to ask for help when you need it. Happy coding, folks! You’ve got this!